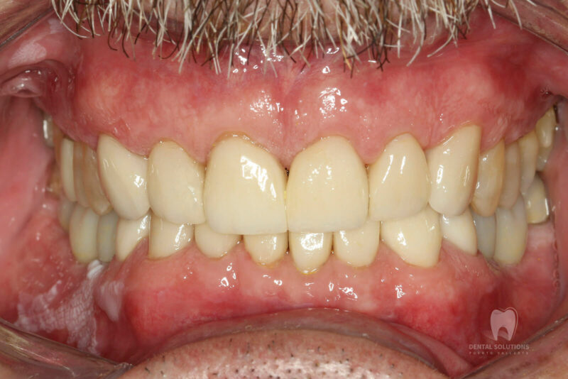
Coronas dentales en Puerto Vallarta
Las coronas digitales se diseñan y fabrican con un equipo especializado por computadora CAD/CAM. Con él se escanean imágenes de la boca para crear un modelo 3D.
Consejos para mantener tus dientes sanos y todo lo que necesitas saber para prepararte para tu próxima consulta dental.
La odontología es una de las especialidades más solicitadas en nuestro destino. Sigue estos consejos para elegir dentista en Puerto Vallarta.
Descubre cómo los procedimientos de cosmética dental puede beneficiar no solo tu aspecto si no tu calidad de vida también.
Los dientes son órganos indispensables en la digestión, en cómo emitimos sonidos y también en la apariencia de nuestro rostro.
Ventajas de una boca sana y cómo prevenir otras condiciones.
En este artículo ayudaremos a mejorar tu rutina de limpieza dental.
El mal aliento, también conocido como halitosis, es un problema caracterizado por un olor desagradable que emana de la boca y que suele causar incomodidad.