Avanzar al contenido principal

Tratamiento completo con implantes

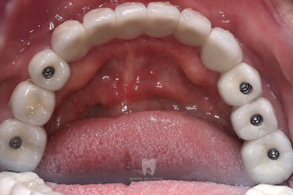
All-On-X: sobre 4, 5, 6 u 8 implantes para una restauración total

Desde$175,000 MXN

Precio base para All-on-4. El precio final se confirmará en la consulta de valoración.

El procedimiento consiste en colocar implantes a lo largo del maxilar y la mandíbula, seguido de la fijación de una prótesis total atornillada sobre estos implantes.

Lo recomendamos para tratar casos graves, en el que es necesario reemplazar un conjunto de dientes o el arco dental completo.

Equipo experto
Colaboramos con especialistas certificados
Seguridad
Dedicación y acompañamiento en cada paso
Estética y función
Prótesis personalizadas para mejorar tu sonrisa
Marcas reconocidas
Usamos Straumann para nuestros implantes

Qué esperar

Información sobre el número de visitas y la preparación para tus citas.

Etapa quirúrgica

Comenzamos planificando la ubicación de los implantes y diseñando las prótesis provisionales. Esta etapa requiere tiempo para recopilar toda la información esencial para un procedimiento exitoso.

Una vez completada la planificación, procedemos con una cita para colocar los implantes y la prótesis provisional. Esta sesión dura varias horas, dependiendo del número de implantes, el alcance (una arcada o ambas) y las extracciones necesarias.

Recomendación: Por favor, usa ropa cómoda (suéter, pants y tenis).

Recuperación y seguimiento (mínimo de 10 días)
Después de la cirugía, el paciente debe descansar en un lugar fresco. Se proporcionará una dieta especial y medicamentos prescritos; el paciente debe evitar actividades al aire libre, nadar, etc.

Cada paciente es único, pero es probable que experimente dolor y molestias en el área oral en los días posteriores al tratamiento. Estaremos atentos y en constante comunicación, con citas disponibles si es necesario.

Cita de seguimiento
Unos días después, tendremos una cita de revisión para verificar las suturas. Si el paciente tiene una prótesis anclada a los implantes, evaluaremos la oclusión (mordida) y realizaremos los ajustes necesarios. Mantendremos comunicación con el paciente durante cada etapa del proceso.

Restauraciones permanentes (aproximadamente 12 días)

El paciente regresará en 3 a 6 meses para la segunda etapa del tratamiento, que consiste en reemplazar las prótesis provisionales por las definitivas.

Las prótesis permanentes se personalizan para adaptarse a las encías y armonizar con la apariencia del rostro del paciente. Tomaremos todas las medidas e impresiones necesarias para fabricar las prótesis finales.

Revisión

Durante este proceso, habrá varias citas (no diarias) para evaluar la mordida, la estética y el asentamiento de la prótesis sobre los implantes, asegurando que el producto final pueda fijarse de forma segura a los implantes.

Después de entregar las prótesis, dejaremos días adicionales para realizar los ajustes finales, centrándonos principalmente en la oclusión (mordida).

Full-mouth restorative treatment

Transforma tu vida con un tratamiento restaurativo integral.

Tratamiento completo con implantes Términos y condiciones

  • La etapa quirúrgica incluye: modelos, escaneos intraorales, fotografías, pruebas estéticas y evaluaciones funcionales. En la fase inicial se realizará una tomografía (radiografía 3D), la cual tiene un costo adicional. 
  • El tratamiento incluye: extracciones, cuatro implantes, prótesis provisionales y todos los aditamentos necesarios para cargar la prótesis inmediata.No incluye elevaciones de seno maxilar. 
  • Garantía antes de la Etapa Permanente: Cobertura total en caso de pérdida del implante. Aplican restricciones: si el paciente cumple con todas las indicaciones, el implante será reemplazado sin costo; la cobertura no aplica en casos de higiene inadecuada, falta de apego a las recomendaciones médicas, indicaciones postoperatorias y al régimen de medicamentos prescritos. Los ajustes en el costo de reposición estarán sujetos a valoración clínica.
  • El precio base del tratamiento All-on-4 es de $175,000 MXN (aproximadamente $10,000 USD). El precio base del tratamiento All-on-6 es de $215,000 MXN (aproximadamente $12,500 USD). Su médico le informará el precio final en la consulta de valoración.
  • Los precios que se muestran en esta página están expresados ​​en pesos mexicanos (MXN) y están sujetos a cambios sin previo aviso. Los precios en dólares estadounidenses se muestran con fines informativos y están sujetos al tipo de cambio vigente.