Las carillas son un procedimiento conservador, ya que reducimos muy poco el esmalte. Su uso contribuye a un aspecto más armónico y estético. Cada pieza que diseñamos está pensada para que sea similar al resto de tus dientes en color, tamaño, y estructura.
We have same-day veneer fabrication, either with composite resin or ceramic CEREC veneers. Depending on the patient’s expectations, we will suggest the most appropriate procedure. We involve you in the decision and explain every detail.
- Piezas a la medida
- Tomamos en consideración tus necesidades y la apariencia de tus dientes.
- Materiales duraderos
- Usamos las carillas de cerámica e-max™ que tienen una vida de 10 a 15 años.
- Proceso conservador
- El tallado del diente es mínimo, evitando un daño irreversible.
- Garantía de un año
- Siempre que hayas seguido las indicaciones y acudido a las citas de valoración.
¡Nos apasionan las sonrisas renovadas!
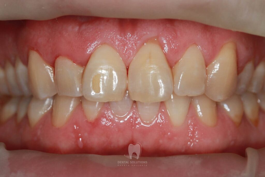
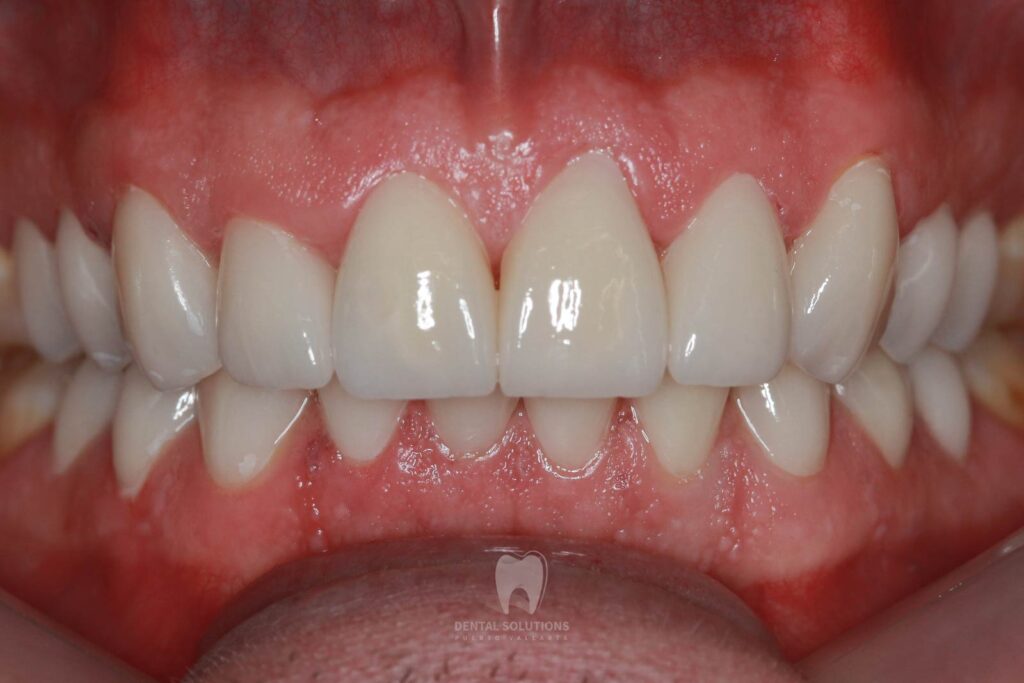
Observa la apariencia de estas sonrisas antes y después del tratamiento de carillas dentales.
Qué esperar de las carillas dentales
- Primera cita
En la consulta de valoración podremos platicar sobre tus deseos, expectativas y presupuesto. El doctor te dará una idea de cómo puede ser tu sonrisa.
- Segunda cita
Después de unos días, ya tendremos listas las piezas dentales para colocarlas sobre tus dientes. El proceso requiere aproximadamente una semana.
Mejora la apariencia de tus dientes. Solicita tu primera consulta.
